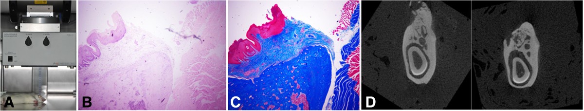
Figure 4
From: New approach for the treatment of osteoradionecrosis with pentoxifylline and tocopherol

An experimental osteoradionecrosis rat model, including the apparatus with irradiation (A), and hematoxylin-eosin (B) and toluidine blue (C) staining with micro-computed tomogram views (D).